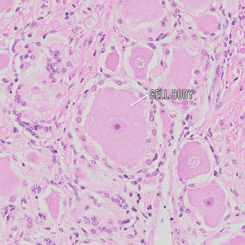
Neurons are the major cell type in the central and peripheral nervous systems. They interconnect with each other, forming dense meshworks and long nerves that transmit electrical signals. They are identifiable by their irregularly shaped cell bodies. Occasionally, you can see axons and dendrites, particularly if you use special stains that highlight these structures.

Neurons are irregular, polygonal shapes with a prominent nucleus. The nucleus typically has a dense nucleolus within it. The nucleolus is the dark purple dot in the center of this cell body.




